顎変形症と外科矯正だけに集中
診断→術前矯正→骨切り→術後矯正→保定の全工程をグループ内で完結。検査・診断・治療計画・手術計画を統括院長を中心とした経験豊富な精鋭の専門グループで一貫して管理する専門体制です。

Who Visits Us
Self Diagnosis
5つの簡単な質問に答えることで、あなたの症状が顎変形症(外科矯正が必要な不正咬合)か、一般的な歯列矯正で対応できるかの目安がわかります。
このテストについて
このセルフチェックは医学的診断ではなく、あくまで目安です。正確な診断には、専門医による詳細な検査が必要です。
ルフォーI型 骨切り術
Le Fort I
SSRO
下顎枝矢状分割術
IVRO
下顎枝垂直骨切り術
オトガイ 形成術
Genioplasty
Surgery First
サージェリーファースト
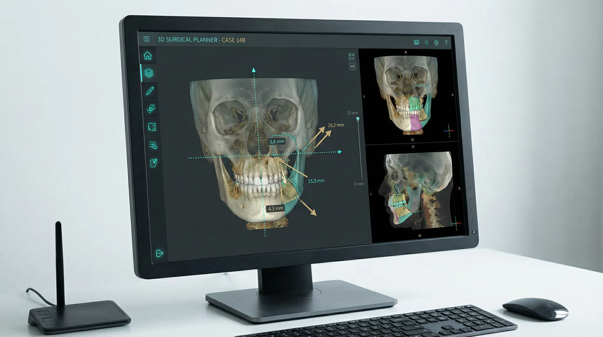
3D シミュレーション
デジタル診断
Why Mirise
顎変形症・外科矯正に特化した専門クリニックとして、骨切り手術からSurgery Firstまで、高度な専門性と豊富な症例経験でフルサポートします。
Academic Lineage
日本の矯正歯科学・顎変形症治療の源流から受け継がれた技術と哲学
相馬 邦道
東京医科歯科大学 名誉教授
Prof. Kunimichi Soma
咬合機能矯正学を確立し、日本の矯正歯科学の発展に多大な貢献。
大村 進
医学博士 / 名誉顧問
Dr. Susumu Omura
馬蹄形骨切り併用Le Fort I型骨切り術など革新的術式を開発。研究業績92件、被引用890件超。日本の顎変形症治療の第一人者。
富田 大介
統括院長 / 矯正歯科
Dr. Daisuke Tomita
デジタルワークフローシステムを構築し、第31回日本顎変形症学会 優秀発表賞を受賞。Surgery First・Early Surgeryの豊富な臨床経験。
君塚 幸子
口腔外科専門医・指導医
Dr. Sachiko Kimizuka
年間約100例以上の顎矯正手術を執刀。超音波骨切削器具を用いた低侵襲手術で術後1泊2日退院を実現。
相馬 邦道
東京医科歯科大学 名誉教授
Prof. Kunimichi Soma
咬合機能矯正学を確立し、日本の矯正歯科学の発展に多大な貢献。
大村 進
医学博士 / 名誉顧問
Dr. Susumu Omura
馬蹄形骨切り併用Le Fort I型骨切り術など革新的術式を開発。研究業績92件、被引用890件超。日本の顎変形症治療の第一人者。
富田 大介
統括院長 / 矯正歯科
Dr. Daisuke Tomita
デジタルワークフローシステムを構築し、第31回日本顎変形症学会 優秀発表賞を受賞。Surgery First・Early Surgeryの豊富な臨床経験。
君塚 幸子
口腔外科専門医・指導医
Dr. Sachiko Kimizuka
年間約100例以上の顎矯正手術を執刀。超音波骨切削器具を用いた低侵襲手術で術後1泊2日退院を実現。
※ 各人物にホバー(タップ)で経歴・業績を表示
診断→術前矯正→骨切り→術後矯正→保定の全工程をグループ内で完結。検査・診断・治療計画・手術計画を統括院長を中心とした経験豊富な精鋭の専門グループで一貫して管理する専門体制です。
術前矯正を省略または短縮し、手術を先行。従来2〜3年の治療期間を約半分に短縮可能です。(適応は症例による:自費)通常の保険適用での顎変形症にも対応。
手術シミュレーション、3D顔貌予測、日本初導入のRayScan最上位CTを駆使。第31回日本顎変形症学会 優秀発表賞受賞のワークフロー。
日本顎変形症学会認定医を矯正歯科と口腔外科の両方で在籍させる民間施設は、全国でミライズのみ(2026年3月時点)。
Stryker Sonopet iQ(国内第一号導入)+低血圧麻酔により出血量を大幅に低減。術後24時間管理、翌日歩行退院。
術前5段階スクリーニングと清潔度クラスII手術室、術後24時間専任管理。緊急時は慶應・日赤広尾・東京科学大・東大・昭和医科大と連携。
Clinical Data
日本オーラルヘルス協会IRB承認 No.12025007A
1泊2日
入院管理
翌日歩行退院
※数値が低いほど良好
当院の術後管理プロトコルに基づく。大学病院での一般的な入院期間は5〜7日間(日本顎変形症学会ガイドライン参照)。
63%以上
1週間未満で社会復帰
術後の早期回復
第35回日本顎変形症学会学術大会発表データ(2022年1月〜2026年1月、上下顎骨切り術143症例)。一般的な専門施設での1週間未満復帰率は約30%前後。
約2.5〜3時間
平均手術時間(上下顎骨切り術)
一般平均の約50%短縮
※数値が低いほど良好
Cassidy HP, et al. J Oral Maxillofac Surg. 2017(平均314.1分); Ayoub N, et al. Int J Oral Maxillofac Surg. 2021(メタアナリシス:5時間以上); Gabotto V, et al. J Stomatol Oral Maxillofac Surg. 2021(3Dガイド使用:約288分)。当院データは同学会発表に基づく。
8.9点
患者満足度
10点満点
当院独自の術後アンケート調査(10点満点、2022年1月〜2026年1月、143症例)。業界平均値は国内外の顎変形症術後QOL研究の中央値を参照。
0件
重篤な術後合併症
Clavien-Dindo Grade III以上
※数値が低いほど良好
Clavien-Dindo分類 Grade III以上(全身麻酔下での再手術を要する合併症)の発生件数。臨床定義に基づく厳格な評価。
Clavien-Dindo分類 Grade III(全身麻酔下での再手術を要する合併症)以上の発生:0件/143症例(2022年1月〜2026年1月)。日本オーラルヘルス協会IRB承認 No.12025007A。一般的な専門施設での発生率は3〜5件程度(100症例あたり)。
出血量の低減
Stryker Sonopet iQ+低血圧麻酔により出血量を大幅に抑え、術後の腫脹を最小化します。
全身麻酔の負担軽減
麻酔時間を約50%短縮することで、循環器・呼吸器への負担を軽減し合併症リスクを低下させます。
早期回復・社会復帰
神経・組織への愛護的操作が可能となり、ダウンタイムを短縮。63%以上が1週間未満で社会復帰。
Case Illustrations
顎変形症の代表的な症状と、骨切り手術(ルフォーI型・SSRO・IVRO)による改善の概念図です。実際の治療結果は個人差があります。

SSRO / Surgery First
下顎骨を後方に移動し、正常な咬合と調和のとれた横顔を実現します。

Le Fort I + SSRO
上下顎の位置を調整し、前歯部の咬合を確立。食事・発音の改善が期待できます。

Le Fort I + SSRO + オトガイ形成術
上下顎とオトガイの位置を三次元的に調整し、顔面の対称性を回復します。
※上記はイラストによる概念図であり、実際の治療前後の写真ではありません。治療結果には個人差があります。
症例解説を詳しく見るCase Reports
担当医による客観的な症例解説です。治療内容・費用・期間・リスクを併記しています。
Surgery First(サージェリーファースト)
SSRO(下顎枝矢状分割術)による下顎後方移動。術前矯正なしで手術を先行し、術後矯正にて咬合を仕上げた症例。
Le Fort I型 + SSRO + オトガイ形成術
上下顎とオトガイの三次元的位置調整により顔面の対称性を回復。3Dシミュレーションに基づく治療計画を立案した症例。
Early Surgery(アーリーサージェリー)
Le Fort I型骨切り術 + SSROにより上下顎を移動。短期間の術前矯正後に手術を行い、前歯部の咬合を確立した症例。
※治療結果には個人差があります。詳細は初診相談にてご説明いたします。
症例解説をもっと見るDirector's Message
顎変形症は、見た目の問題だけではありません。正しく噛めること——「機能的な咬合」は、食事、呼吸、発音、そして全身の健康に直結します。噛み合わせの不調和は、顎関節症や頭痛、消化不良、さらには心理的な負担にまでつながることがあります。私は矯正歯科医として、そして日本顎変形症学会認定医として、患者さんの骨格・咬合・顔貌の調和を追求し、「正しく噛める」ことで人生そのものが好転する治療を目指してきました。
原点は、東京医科歯科大学(現 東京科学大学)大学院時代の恩師・相馬邦道名誉教授との出会いです。咬合機能矯正学の第一人者である相馬先生から、「咬合は機能である」という教えを受け、矯正歯科医としての礎を築きました。そして2007年、相馬先生の推薦により横浜市立大学附属市民総合医療センターへ出向。そこで出会ったのが、顎変形症治療の第一人者・大村進先生でした。
大村先生のもとで目の当たりにしたのは、骨切り手術によって患者さんの咬合と顔貌が劇的に改善し、人生が変わっていく姿でした。馬蹄形骨切り併用Le Fort I型骨切り術やMAC(下顎を切らない上下顎同時移動術)など、安全性と精度を極限まで追求した術式の数々。「患者さんの負担を少しでも減らしたい」という大村先生の姿勢に、私は深く共感しました。同じ手術室で研鑽を積んでいた口腔外科医・君塚幸子と共に、矯正歯科と口腔外科の垣根を越えた本音の議論を重ねた日々が、今のミライズの原点です。
私たちがミライズを立ち上げたのは、患者さん一人ひとりに最善の治療を届けるためです。安全性を最優先に、超音波骨切削器具や最新の手術機器を導入し、患者さんの身体的負担を可能な限り軽減する。新しい術式やデジタル技術を積極的に取り入れ、学術的なエビデンスを構築しながら治療精度を高め続ける。そして、その成果を国内外の学会で発表し、顎変形症治療全体の発展に貢献する。矯正歯科と口腔外科、それぞれの専門医が一つ屋根の下で本音の議論を重ね、患者さんにとって最善の治療計画を練り上げる——それが、恩師たちから受け継いだ使命であり、ミライズの揺るがない信念です。
顎変形症に悩むすべての方が、正しく噛め、自信を持って笑える未来へ。一人でも多くの患者さんの人生を好転させたい。骨格から、未来を変える。その想いで、日々の診療に臨んでいます。

富田 大介
統括院長 / 矯正歯科医 / 日本顎変形症学会認定医
Clinic Interior
清潔で落ち着いた空間で、安心して治療をお受けいただける環境を整えています。



_d18c2294.jpeg)
_bef440ec.jpeg)


Jaw Deformity
顎変形症とは、上顎骨や下顎骨の大きさ・形・位置の異常により、 咬み合わせや顔貌に問題が生じる疾患です。受け口(下顎前突)、出っ歯(上顎前突)、開咬(オープンバイト)、顔の左右差(下顎側方偏位)、ガミースマイルなどの症状が現れます。
矯正治療だけでは改善が難しい骨格性不正咬合に対し、 矯正歯科治療と顎矯正手術(骨切り手術)を組み合わせた 「外科矯正」により、骨格・咬合・顔貌の調和を実現します。
代表的な手術法として、ルフォーI型骨切り術(Le Fort I)、SSRO(下顎枝矢状分割術)、 IVRO(下顎枝垂直骨切り術)、オトガイ形成術などがあります。
顎変形症について詳しくSymptoms
以下の症状に心当たりがある方は、顎変形症(骨格性不正咬合)の可能性があります。矯正治療だけでは改善が難しい場合、外科矯正(顎矯正手術)が必要となることがあります。

Surgery First Approach
Surgery First(サージェリーファースト)とは、従来の外科矯正で必要とされる術前矯正を省略し、先に顎矯正手術(骨切り手術)を行う革新的な治療法です。 ルフォーI型骨切り術やSSRO(下顎枝矢状分割術)を治療初期に実施することで、 早期に顔貌の改善が得られます。また、手術による加速矯正効果(RAP効果)による矯正治療期間の大幅な短縮が見込めます。※適応は症例による
ミライズではEarly Surgery(アーリーサージェリー)にも対応。 術前矯正期間を大幅に短縮し、早期に骨切り手術を行うアプローチも選択可能です。
治療期間
約1〜1.5年
従来法の約半分
術前矯正
省略可能
早期に骨切り手術
顔貌改善
治療初期
早期に実感
Surgical Procedures
顎変形症の外科矯正では、症状に応じて以下の骨切り手術を単独または組み合わせて行います。
上顎骨を水平に骨切りし、前後・上下・左右に移動させる手術です。上顎の前突・後退・開咬・ガミースマイルなどの改善に用いられます。上顎全体を理想的な位置に再配置することで、咬合と顔貌の調和を図ります。
下顎枝を矢状方向に分割し、下顎骨を前方または後方に移動させる手術です。受け口(下顎前突)の改善に最も多く用いられる術式で、チタンプレートで固定します。骨の接触面積が広く、安定性に優れています。
下顎枝を垂直方向に骨切りし、下顎骨を後方に移動させる手術です。SSROと比較して顎関節への負担が少なく、顎関節症を合併している症例に適しています。顎間固定が必要となる場合があります。
下顎骨の先端部(オトガイ部)を骨切りし、前後・上下に移動させる手術です。顎先の突出・後退・左右偏位の改善に用いられ、ルフォーI型やSSROと併用されることが多い術式です。

Specialist Team
横浜市立大学で同じ手術室に立ち、同じ患者さんのために汗を流した矯正歯科医と口腔外科医。20年の信頼関係に裏打ちされた、ミライズならではのチーム医療を提供します。

Susumu Omura
名誉顧問・医学博士
口腔外科

Sachiko Kimizuka
口腔外科専門医・指導医
口腔外科

Daisuke Tomita
統括院長・矯正歯科医
矯正歯科
東京都民間クリニック唯一
日本顎変形症学会 認定医(矯正歯科)
富田 大介 — 統括院長
全国の民間施設で唯一
矯正・口腔外科 両認定医が所属
2026年3月時点
矯正歯科医がデザイナー・ディレクターとして設計図を描き、口腔外科医が卓越した職人技でそれを実現する。 科の壁も遠慮もない、患者さん第一の本音のコミュニケーション。 それが「治す」から「叶える」医療を可能にするミライズの強みです。
名誉顧問 大村 進(医学博士)— 日本の顎変形症治療の第一人者が監修
Treatment Flow
初診相談から術前矯正・骨切り手術(ルフォーI型・SSRO)・術後矯正・保定まで、治療の全体像をご案内します。
受け口・出っ歯・開咬・顔の左右差・ガミースマイルなどのお悩みをお伺いし、口腔内の状態を確認。顎変形症・外科矯正の概要・期間・費用について説明いたします。
Envista DEXIS OP 3D VisionやRayScan最上位機種(日本初導入)による3D-CT撮影、Dolphin Imagingによるデジタルセファロ分析、RayFaceフェイススキャナーによる3D顔面スキャン、歯列模型、顔貌写真など、世界水準の精密検査を行います。
検査結果をもとに顎変形症の診断を行い、Materialise ProPlan CMFによる3D手術シミュレーションでルフォーI型骨切り術・SSRO・IVRO等の最適な手術計画を立案。Dolphin Imagingで術後の3D顔貌予測をご確認いただけます。
骨切り手術に向けた歯の移動を行います。Surgery First(サージェリーファースト)の場合は省略、Early Surgery(アーリーサージェリー)の場合は短縮します。
全身麻酔下で顎矯正手術(ルフォーI型骨切り術・SSRO・IVRO・オトガイ形成術等)を行います。当院では1泊2日の入院管理で、翌日歩行退院が可能です。Stryker Sonopet iQ(国内第一号導入)と低血圧麻酔の併用により、低侵襲かつ安全性に配慮した手術を実施します。
骨切り手術後の咬合の微調整を行います。通常6ヶ月〜1年程度です。Surgery Firstの場合、術後の骨代謝亢進を利用した効率的な歯の移動が可能です。
矯正装置を外した後、保定装置で咬合の安定を図ります。定期的なメンテナンスで骨格・咬合・顔貌の長期的な安定を維持します。
Cost & Insurance
顎変形症と診断され、顎口腔機能診断施設で治療を受ける場合、矯正治療・骨切り手術(ルフォーI型・SSRO等)ともに健康保険が適用されます。
約50〜80万円
3割負担の場合(高額療養費制度利用可)
Surgery First(サージェリーファースト)やEarly Surgery(アーリーサージェリー)など、保険適用外の治療法を選択される場合の手術費用目安です。※麻酔代や諸経費込。矯正費用は除く。
約220〜370万円(税込)
治療内容により異なります(分割払い可)
ミライズ矯正歯科南青山(顎口腔機能診断施設)にて専門医が診察。顎変形症の可能性を評価します。
セファロ・CT・3D分析等の精密検査を実施。顎変形症の確定診断を行います。
顎変形症と診断された場合、矯正治療・手術ともに健康保険が適用されます。
保険適用で矯正治療を開始。手術は入院1泊2日、高額療養費制度も利用可能です。
※ミライズ矯正歯科南青山は厚生労働省認定の顎口腔機能診断施設です。保険適用の可否は精密検査・診断の結果により判断されます。
Risks & Side Effects
顎矯正手術は安全性の高い治療ですが、すべての手術と同様にリスク・副作用が存在します。事前に十分なご理解をいただくことが重要です。
下唇や頬の一時的な知覚鈍麻が生じることがあります。ほとんどの場合、数週間〜数ヶ月で回復します。永続的な神経障害は稀です。
術後3〜7日間は顔の腫れと痛みが生じます。当院の低侵襲手術により腫脹を最小化し、63%以上が1週間未満で社会復帰しています。
術中の出血は低血圧麻酔とSonopet iQにより最小化しています。術後の血腫は稀ですが、発生時は穿刺吸引で対応します。
術後感染は抗生物質投与により予防しています。当院では2022年1月〜2026年1月の143症例で感染による重篤な合併症は0件です。
術後に咬み合わせが変化することがあります。術後矯正により調整します。3D仮想手術計画により咬合不正を最小化しています。
顔貌の急激な変化により、術後一時的に気分の落ち込み(術後うつ)が生じることがあります。心理的サポートが重要です。
2022年1月〜2026年1月の上下顎骨切り術143症例において、Clavien-Dindo分類 Grade III以上(全身麻酔下での再手術を要する合併症)の発生は0件です。
※日本オーラルヘルス協会IRB承認 No.12025007A
Second Opinion
「骨格のズレが大きすぎる」「顎関節に問題がある」「左右差が大きい」——他院で手術が難しいと判断された症例でも、 ミライズの専門医チームが対応できる場合があります。
口腔外科専門医・指導医と矯正歯科認定医が在籍するミライズでは、難症例にも対応した治療計画を立案します。 まずはセカンドオピニオンとしてご相談ください。
現在、初診相談は約1〜2週間後のご予約が可能です。
平日午前
○
空きあり
平日午後
△
残りわずか
土曜午前
△
残りわずか
土曜午後
○
空きあり
※空き状況は目安です。正確な空き状況はご予約時にご確認ください。
FAQ
Sister Clinic
ミライズ顎変形症クリニックは、骨格のズレ(顎変形症)の治療に特化しています。
通常の歯列矯正(ワイヤー矯正・マウスピース矯正など)をご希望の方は、同グループのミライズ矯正歯科南青山へのご来院をお勧めします。
| ミライズ顎変形症 | 骨格のズレを手術で改善 |
| ミライズ矯正歯科 | 通常の歯列矯正 |
ミライズ矯正歯科の対応治療
_bef440ec.jpeg)
Mirise Well Medical Group
ミライズ顎変形症クリニックは、Mirise Well Medical Group(ミライズウェルメディカルグループ)に所属しています。 グループの総合力を活かし、矯正歯科・口腔外科・一般歯科が密接に連携した包括的な顎変形症治療を提供します。
骨切り手術(ルフォーI型・SSRO・IVRO)からSurgery First・Early Surgeryまで、 グループ内の専門医チームが一貫してサポートいたします。
グループについてEmergency Network
万が一の緊急時に備え、近隣の総合病院・大学病院と連携体制を構築しています。
Evidence & Expertise
Blog
専門医が執筆する顎変形症・外科矯正に関する最新情報をお届けします。
Sister Clinic — Mirise Well Medical Group
ワイヤー矯正・舌側矯正・マウスピース矯正・小児矯正など、 通常の歯列矯正をご希望の方は、同グループのミライズ矯正歯科南青山をご案内しております。
ミライズ矯正歯科南青山対応する矯正治療